L’objectif du traitement parodontal est la disparition de la poche parodontale qui peut se faire par :
- Régénération de l’os perdu : l’os progresse et se repositionne 3 millimètres sous la gencive.
- Rétraction de la gencive : la gencive se rétracte pour rejoindre le niveau osseux et se repositionner 3 mm au dessus.
En général, la disparition de la poche se fait par les deux phénomènes conjugués sans que l’on puisse le savoir à l’avance.
POURQUOI LA GENCIVE S’EST-ELLE RÉTRACTÉE ?

La rétraction des gencives est un phénomène inévitable car il n’est pas possible de régénérer tout l’os perdu.
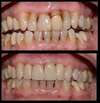
Lorsque vous souffriez de parodontite, la gencive était rouge et gonflée par l’inflammation : ce gonflement masquait les effets de la pathologie.
Avec le traitement, vous avez jugulé l’inflammation : la gencive a dégonflé et elle s’est rétractée tout naturellement pour se repositionner à 3 mm de l’os qui la soutient. La situation est saine.
LA RÉTRACTION DE GENCIVES VOUS POSE UN PROBLÈME ESTHÉTIQUE, QUE FAIRE ?
- Dans les secteurs antérieurs, la rétraction des gencives peut entraîner l’apparition de triangles noirs entre les dents.
- Les dents peuvent aussi paraître plus longues.
- Le seul moyen de pallier à ce problème est de tricher prothétiquement.
- La réalisation de couronnes en céramique peut être indiquée pour venir fermer les espaces entre les dents.

