Dr Laurent ETZOL Chirurgien-Dentiste à Muret 31600
Soins et esthétique dentaire - Implantologie - Parodontologie
ACCUEIL
LE CABINET
NOS TRAITEMENTS
IMPLANTOLOGIE
PARODONTOLOGIE
ESTHÉTIQUE
ÉQUIPEMENT DU CABINET
CAS CLINIQUES
Composites Esthétiques
Couronne tout céramique
Éclaircissement
Facettes
Implants dentaires
Parodontie
NOS VIDÉOS 3D
NOS FICHES CONSEILS
Dr Laurent ETZOL Chirurgien-Dentiste à Muret 31600
26 Bis Rue Pierre Fons 31600 Muret
Soins et esthétique dentaire - Implantologie - Parodontologie
+33 5 61 51 39 29
ACCUEIL
LE CABINET
NOS TRAITEMENTS
IMPLANTOLOGIE
PARODONTOLOGIE
ESTHÉTIQUE
ÉQUIPEMENT DU CABINET
CAS CLINIQUES
Composites Esthétiques
Couronne tout céramique
Éclaircissement
Facettes
Implants dentaires
Parodontie
NOS VIDÉOS 3D
NOS FICHES CONSEILS
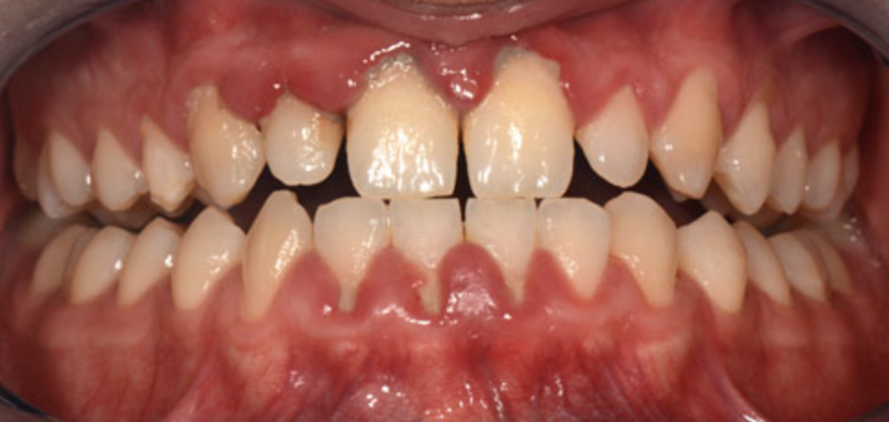
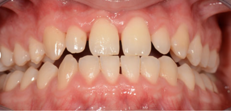
Parodontie
Avant
Après
Dr Laurent ETZOL Chirurgien-Dentiste à Muret 31600
26 Bis Rue Pierre Fons
31600
Muret
+33 5 61 51 39 29
Politique de confidentialité et charte cookie
Mentions légales
Conditions Générales Utilisation
Charte déontologique
Ordre national
Annuaires chirurgiens dentistes
Hygiène & Asepsie
Honoraires & Remboursement
Création par
Connexion